Login Register
Gallery Aorta Dissection

Dissection

Date: 02/26/2006
Size: 9 items
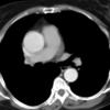
Ao Diss 1a

Ao Diss 1a

Date: 01/21/2006
Views: 4016
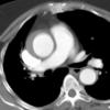
Ao Diss 1b

Ao Diss 1b

Date: 01/21/2006
Views: 2963
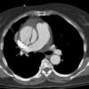
Ao Diss 1c

Ao Diss 1c

Date: 01/21/2006
Views: 3646
Ao Diss 2a

Ao Diss 2a

Date: 12/31/2004
Views: 3668
Ao Diss 2b

Ao Diss 2b

Date: 12/31/2004
Views: 2828
Ao Diss 3

Ao Diss 3

Date: 02/26/2006
Views: 2846
Ao Diss 4a before

Ao Diss 4a before

Date: 12/31/2004
Views: 3182
Ao Diss 4b IMH

Ao Diss 4b IMH

Date: 12/31/2004
Views: 2983
Ao diss 4c

Ao diss 4c

Date: 12/31/2004
Views: 2891
     
Page: 1
Powered by Gallery v2.3