Login Register
Gallery Aorta Right arch

Right arch

Date: 07/09/2006
Size: 11 items
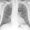
Rt arch Case 1

Rt arch Case 1

Date: 07/09/2006
Views: 2923
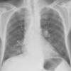
Rt arch Case 2

Rt arch Case 2

Date: 07/09/2006
Views: 2943
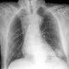
Rt arch Case 3

Rt arch Case 3

Date: 07/09/2006
Views: 3549
Rt arch Case 4

Rt arch Case 4

Date: 07/09/2006
Views: 2788
Rt arch Case 5

Rt arch Case 5

Date: 07/09/2006
Views: 2755
Rt arch Case 6

Rt arch Case 6

Date: 07/09/2006
Views: 3420
Rt arch Case 7

Rt arch Case 7

Date: 07/09/2006
Views: 3117
Rt arch Case 8

Rt arch Case 8

Date: 07/09/2006
Views: 2692
Rt arch Case 8 cu

Rt arch Case 8 cu

Date: 07/09/2006
Views: 2778
Double arch

Double arch

Date: 07/09/2006
Views: 3622
Double arch CT

Double arch CT

Date: 07/09/2006
Views: 2670
 
Page: 1
Powered by Gallery v2.3