Login
Register
Gallery
Blunt Chest Trauma
BCT-Other
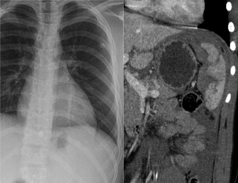
Splenic injury
Splenic injury
Date: 10/23/2010
Size:
800x616
1122x864
Full size:
1122x864
next
last
first
previous
next
last
first
previous