Login Register
Gallery Blunt Chest Trauma Lung injury

Lung injury

Date: 10/28/2010
Size: 3 items
Contusion

Contusion

Date: 10/23/2010
Views: 4288
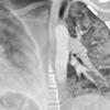
laceration

laceration

Date: 07/26/2006
Views: 4315
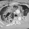
contusion/laceration, pneumo

contusion/laceration, pneumo

Date: 07/26/2006
Views: 4475
 
Page: 1
Powered by Gallery v2.3