Login
Register
Gallery
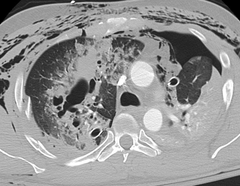
Blunt Chest Trauma
Lung injury
contusion/laceration, pneumo
contusion/laceration, pneumo
Date: 07/26/2006
Size:
800x618
980x757
Full size:
980x757
first
previous
first
previous