Login Register
Gallery Blunt Chest Trauma Normal Fat Mediastinum

Normal Fat Mediastinum

Date: 04/17/2005
Size: 4 items
Nl Fat 1a

Nl Fat 1a

Date: 04/17/2005
Views: 4126
Nl Fat 1b

Nl Fat 1b

Date: 04/17/2005
Views: 4023
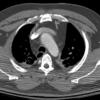
Nl Fat 2a

Nl Fat 2a

Date: 04/16/2005
Views: 4800
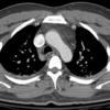
Nl Fat 2b

Nl Fat 2b

Date: 04/16/2005
Views: 4977
Page: 1
Powered by Gallery v2.3