Login Register
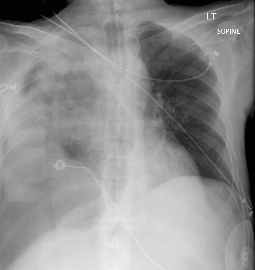
Gallery Blunt Chest Trauma Pneumothorax 8 tension hemopneumo

8 tension hemopneumo

Date: 12/18/2005
Size:
Full size: 828x875
nextlast
first previous
8 tension hemopneumo
nextlast
first previous
Powered by Gallery v2.3