Login Register
Gallery Blunt Chest Trauma Pneumothorax

Pneumothorax

Date: 02/18/2006
Size: 12 items
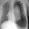
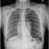
1 deep sulcus

1 deep sulcus

Date: 09/05/2003
Views: 4166
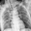
 2 deep sulcus

2 deep sulcus

Date: 02/18/2006
Views: 3920
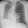
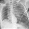
 3 tension

3 tension

Date: 09/05/2003
Views: 18157
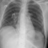
4 tension

4 tension

Date: 09/05/2003
Views: 4020
5 both

5 both

Date: 02/18/2006
Views: 3873
6 tension

6 tension

Date: 10/25/2004
Views: 4774
7 tension

7 tension

Date: 12/18/2005
Views: 5730
8 tension hemopneumo

8 tension hemopneumo

Date: 12/18/2005
Views: 4577
9a bilat see CT

9a bilat see CT

Date: 12/30/2005
Views: 4664
9b

9b

Date: 12/18/2005
Views: 4627
10 tension

10 tension

Date: 02/18/2006
Views: 3833
spont tension pneumo

spont tension pneumo

Date: 03/03/2013
Views: 21233
Page: 1
Powered by Gallery v2.3