Login Register
Gallery Blunt Chest Trauma Pneumothorax

Pneumothorax

Date: 02/18/2006
Size: 12 items
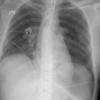
1 deep sulcus

1 deep sulcus

Date: 09/05/2003
Views: 4152
 2 deep sulcus

2 deep sulcus

Date: 02/18/2006
Views: 3899
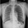
 3 tension

3 tension

Date: 09/05/2003
Views: 18138
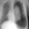
4 tension

4 tension

Date: 09/05/2003
Views: 4003
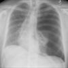
5 both

5 both

Date: 02/18/2006
Views: 3860
6 tension

6 tension

Date: 10/25/2004
Views: 4753
7 tension

7 tension

Date: 12/18/2005
Views: 5709
8 tension hemopneumo

8 tension hemopneumo

Date: 12/18/2005
Views: 4557
9a bilat see CT

9a bilat see CT

Date: 12/30/2005
Views: 4638
9b

9b

Date: 12/18/2005
Views: 4604
10 tension

10 tension

Date: 02/18/2006
Views: 3822
spont tension pneumo

spont tension pneumo

Date: 03/03/2013
Views: 21208
Page: 1
Powered by Gallery v2.3