Login
Register
Gallery
Blunt Chest Trauma
Pneumothorax
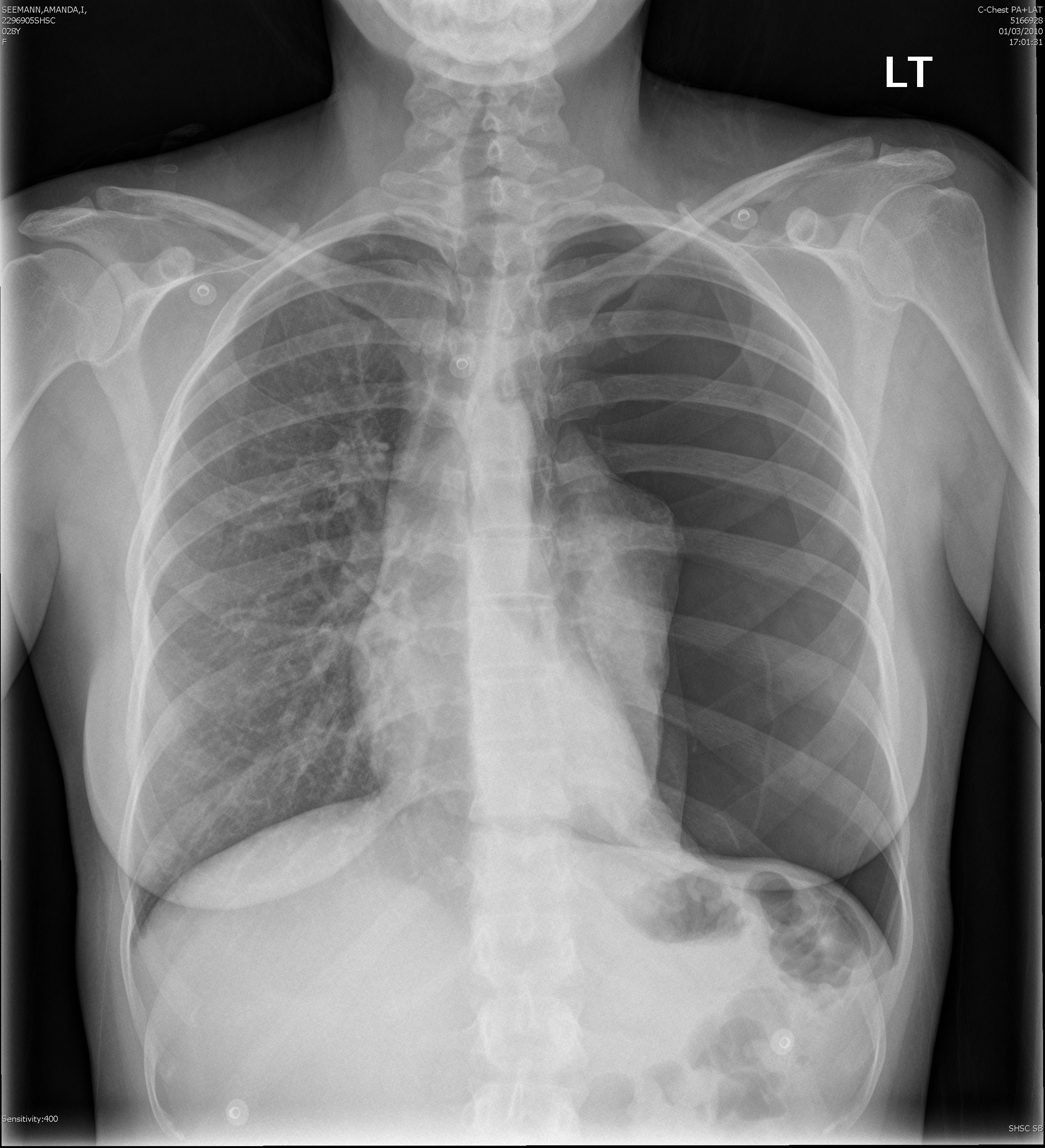
spont tension pneumo
spont tension pneumo
Date: 03/03/2013
Size:
728x800
2712x2981
Full size:
2712x2981
first
previous
first
previous