Login Register
Gallery Blunt Chest Trauma Rupt HD Case 7b

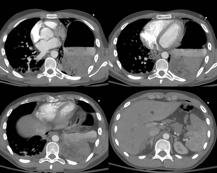
Case 7b

Date: 11/18/2005
Full size: 720x576
nextlast
first previous
Case 7b
nextlast
first previous
Powered by Gallery v2.3