Login
Register
Gallery
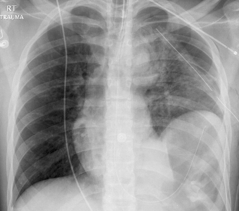
Blunt Chest Trauma
Rupt HD
Case 8a
Case 8a
Date: 11/18/2005
Size:
800x707
932x824
Full size:
932x824
next
last
first
previous
next
last
first
previous