Login Register
Gallery Blunt Chest Trauma Rupt HD Case 8b(a)

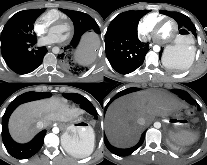
Case 8b(a)

Date: 11/18/2005
Full size: 720x576
nextlast
first previous
Case 8b(a)
nextlast
first previous
Powered by Gallery v2.3