Login
Register
Gallery
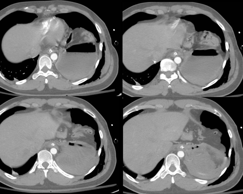
Blunt Chest Trauma
Rupt HD
Case 6c
Case 6c
Date: 02/15/2006
Size:
800x640
960x768
Full size:
960x768
next
last
first
previous
next
last
first
previous