Login
Register
Gallery
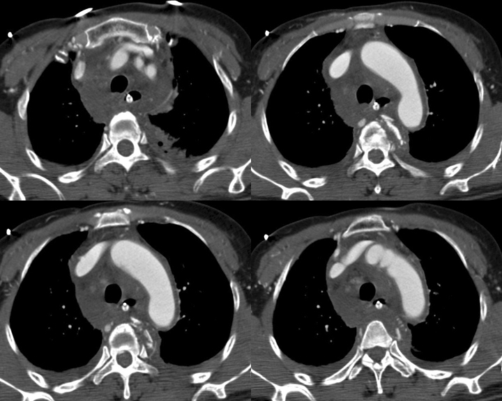
Blunt Chest Trauma
Spine trauma
Case 6c
Case 6c
Date: 12/11/2005
Full size: 720x576
next
last
first
previous
next
last
first
previous