Login Register
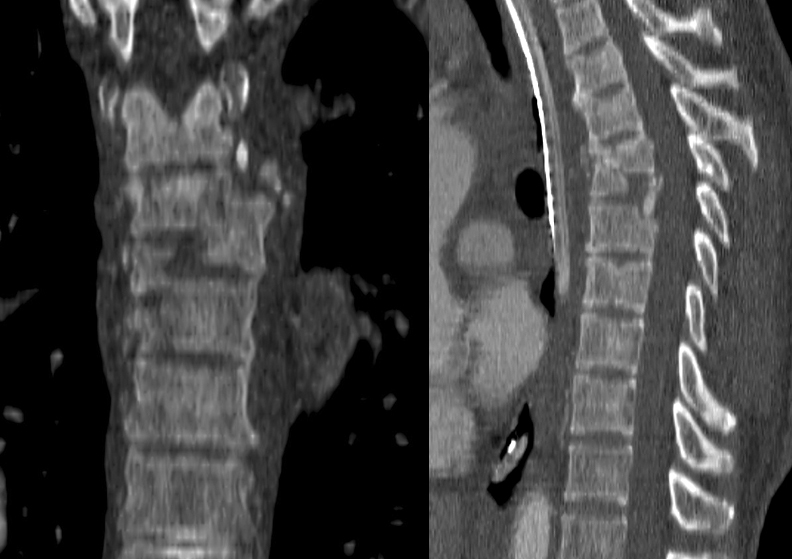
Gallery Blunt Chest Trauma Spine trauma Case 6d

Case 6d

Date: 01/15/2006
Full size: 792x559
nextlast
first previous
Case 6d
nextlast
first previous
Powered by Gallery v2.3