Login Register
Gallery Blunt Chest Trauma Tr Aortic Injury

Tr Aortic Injury

Date: 04/17/2005
Size: 39 items
nextlast
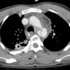
Case 1a

Case 1a

Date: 04/17/2005
Views: 4551
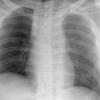
Case 1b nextday

Case 1b nextday

Date: 04/17/2005
Views: 3997
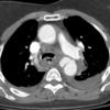
Case 2a

Case 2a

Date: 09/05/2003
Views: 3302
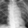
Case 2b

Case 2b

Date: 04/17/2005
Views: 2950
Case 3a

Case 3a

Date: 04/17/2005
Views: 3108
Case 3b

Case 3b

Date: 04/17/2005
Views: 3040
Case 4a

Case 4a

Date: 04/15/2005
Views: 3877
Case 4b

Case 4b

Date: 04/15/2005
Views: 3795
Case 5a

Case 5a

Date: 04/17/2005
Views: 2903
Case 5b

Case 5b

Date: 04/17/2005
Views: 2942
Case 6a

Case 6a

Date: 07/17/2003
Views: 2941
Case 6b

Case 6b

Date: 09/05/2003
Views: 2919
Case 6c

Case 6c

Date: 09/05/2003
Views: 3685
Case 7a

Case 7a

Date: 11/16/2003
Views: 3668
Case 7b

Case 7b

Date: 11/16/2003
Views: 2933
Case 8a

Case 8a

Date: 11/16/2003
Views: 2723
Case 8b

Case 8b

Date: 04/17/2005
Views: 2923
 Case 9a

Case 9a

Date: 02/10/2005
Views: 3633
Case 9b

Case 9b

Date: 02/10/2005
Views: 2845
Case 9c

Case 9c

Date: 02/10/2005
Views: 2911
Case 9d

Case 9d

Date: 02/10/2005
Views: 3591
Case 9e
(see Case 11)

Case 9e
(see Case 11)

Date: 02/10/2005
Views: 3641
Case 10a

Case 10a

Date: 09/05/2003
Views: 2881
Case 10b

Case 10b

Date: 09/05/2003
Views: 3578
Case 11

Case 11

Date: 02/15/2006
Views: 2881
Case 12a

Case 12a

Date: 11/19/2005
Views: 2941
Case 12b

Case 12b

Date: 11/19/2005
Views: 3502
Case 13a

Case 13a

Date: 11/19/2005
Views: 3453
Case 13b

Case 13b

Date: 11/19/2005
Views: 3623
Case 14a

Case 14a

Date: 11/19/2005
Views: 3525
Case 14b

Case 14b

Date: 11/19/2005
Views: 3599
Chronic TAI PA

Chronic TAI PA

Date: 03/14/2009
Views: 3500
Chronic TAI lat

Chronic TAI lat

Date: 03/14/2009
Views: 3921
Chronic TAI CT coronal

Chronic TAI CT coronal

Date: 03/14/2009
Views: 2894
Chronic TAI CT sagittal

Chronic TAI CT sagittal

Date: 03/14/2009
Views: 2819
Chronic TAI 3D

Chronic TAI 3D

Date: 03/14/2009
Views: 2829
nextlast
Page: 1 2
Powered by Gallery v2.3