Login Register
Gallery Blunt Chest Trauma Tr Aortic Injury

Tr Aortic Injury

Date: 04/17/2005
Size: 39 items
first previous
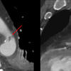
Min Aortic Injury

Min Aortic Injury

Date: 08/14/2012
Views: 2362
MAI

MAI

Date: 08/14/2012
Views: 3151
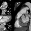
MAI x 2
Unusual location

MAI x 2
Unusual location

Date: 08/14/2012
Views: 3323
 
first previous
Page: 1 2
Powered by Gallery v2.3