Login
Register
Gallery
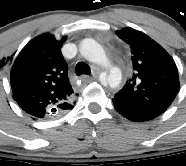
Blunt Chest Trauma
Tr Aortic Injury
Case 8a
Case 8a
Date: 11/16/2003
Full size: 603x538
next
last
first
previous
next
last
first
previous