Login Register
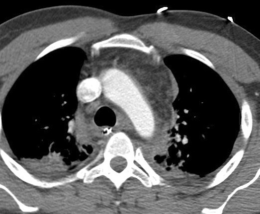
Gallery Blunt Chest Trauma Tr Aortic Injury Case 10a

Case 10a

Date: 09/05/2003
Full size: 523x431
nextlast
first previous
Case 10a
nextlast
first previous
Powered by Gallery v2.3