Login
Register
Gallery
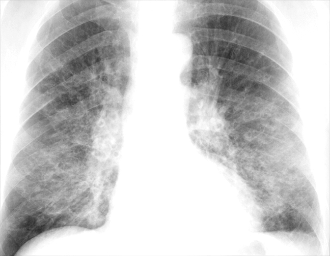
Bronchiectasis
Bronchiectasis Case 2 PA
Bronchiectasis
Case 2 PA
Date: 06/06/2004
Full size: 648x504
next
last
first
previous
next
last
first
previous