Login Register
Gallery Bronchiectasis Bronchiectasis Case 2 PA

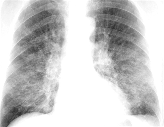
Bronchiectasis
Case 2 PA

Date: 06/06/2004
Full size: 648x504
nextlast
first previous
Bronchiectasis
Case 2 PA
nextlast
first previous
Powered by Gallery v2.3