Login Register
Gallery Bronchiectasis Bronchiectasis Case 3 PA

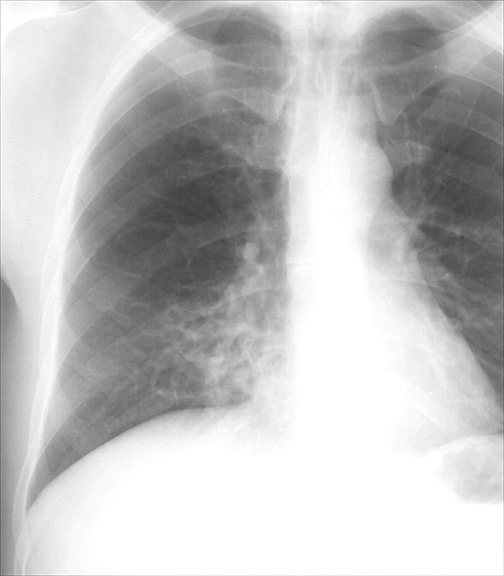
Bronchiectasis
Case 3 PA

Date: 06/06/2004
Full size: 504x576
nextlast
first previous
Bronchiectasis
Case 3 PA
nextlast
first previous
Powered by Gallery v2.3