Login Register
Gallery Bronchiectasis Bronchiectasis Case 8 PA

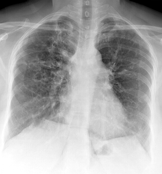
Bronchiectasis
Case 8 PA

Date: 06/06/2004
Full size: 536x576
nextlast
first previous
Bronchiectasis
Case 8 PA
nextlast
first previous
Powered by Gallery v2.3