Login Register
Gallery Bronchiectasis Bronchiectasis Case 8 CT2

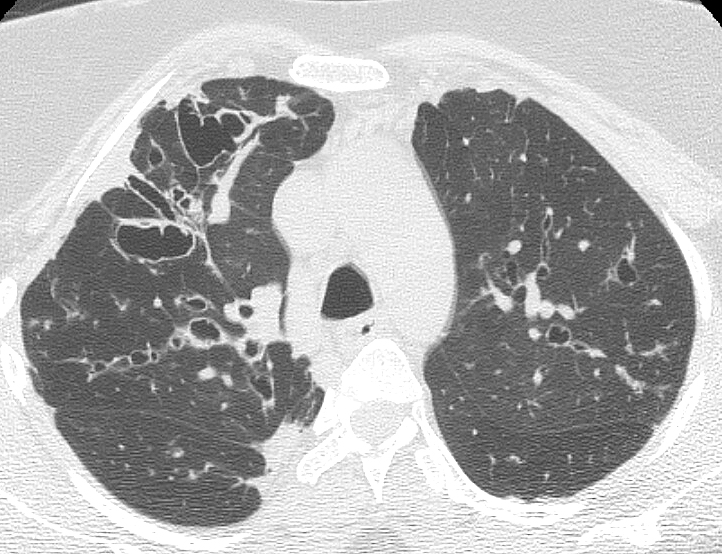
Bronchiectasis
Case 8 CT2

Date: 06/06/2004
Full size: 722x554
nextlast
first previous
Bronchiectasis
Case 8 CT2
nextlast
first previous
Powered by Gallery v2.3