Login Register
Gallery Bronchiectasis Bronchiectasis Case 9 PA

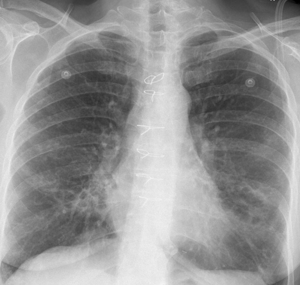
Bronchiectasis
Case 9 PA

Date: 10/16/2003
Full size: 606x576
nextlast
first previous
Bronchiectasis
Case 9 PA
nextlast
first previous
Powered by Gallery v2.3