Login Register
Gallery Bronchiectasis Bronchiectasis Case 12 CT

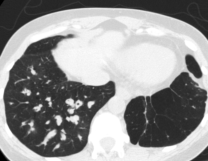
Bronchiectasis
Case 12 CT

Date: 06/03/2004
Full size: 732x567
nextlast
first previous
Bronchiectasis
Case 12 CT
nextlast
first previous
Powered by Gallery v2.3