Login Register
Gallery Bronchiectasis

Bronchiectasis

Date: 06/06/2004
Size: 36 items
Bronchiectasis
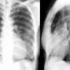
Case 1 PA

Bronchiectasis
Case 1 PA

Date: 06/06/2004
Views: 8405
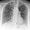
Bronchiectasis
Case 1 PA c/u

Bronchiectasis
Case 1 PA c/u

Date: 06/06/2004
Views: 6973
Bronchiectasis
Case 2 PA

Bronchiectasis
Case 2 PA

Date: 06/06/2004
Views: 6913
Bronchiectasis
Case 2 PA c/u

Bronchiectasis
Case 2 PA c/u

Date: 06/06/2004
Views: 6309
Bronchiectasis
Case 3 PA

Bronchiectasis
Case 3 PA

Date: 06/06/2004
Views: 6335
Bronchiectasis
Case 3 PA c/u

Bronchiectasis
Case 3 PA c/u

Date: 06/06/2004
Views: 6109
Bronchiectasis
Case 3 PA bronchogram

Bronchiectasis
Case 3 PA bronchogram

Date: 06/06/2004
Views: 6519
Bronchiectasis
Case 3 Lat

Bronchiectasis
Case 3 Lat

Date: 06/06/2004
Views: 6280
Bronchiectasis
Case 3 Lat bronchogram

Bronchiectasis
Case 3 Lat bronchogram

Date: 06/06/2004
Views: 10962
Bronchiectasis
Case 4

Bronchiectasis
Case 4

Date: 06/06/2004
Views: 5715
Bronchiectasis
Case 5 PA

Bronchiectasis
Case 5 PA

Date: 06/06/2004
Views: 5920
Bronchiectasis
Gough section

Bronchiectasis
Gough section

Date: 06/06/2004
Views: 4622
Bronchiectasis
Case 6 CT

Bronchiectasis
Case 6 CT

Date: 06/06/2004
Views: 6601
Bronchiectasis
Case 7b PA

Bronchiectasis
Case 7b PA

Date: 06/06/2004
Views: 6082
Bronchiectasis
Case 7a PA

Bronchiectasis
Case 7a PA

Date: 06/06/2004
Views: 5806
Bronchiectasis
Case 7a Lat

Bronchiectasis
Case 7a Lat

Date: 06/06/2004
Views: 9435
Bronchiectasis
Case 7b Lat

Bronchiectasis
Case 7b Lat

Date: 06/06/2004
Views: 6395
Bronchiectasis
Case 8 PA

Bronchiectasis
Case 8 PA

Date: 06/06/2004
Views: 5981
Bronchiectasis
Case 8 PA c/u

Bronchiectasis
Case 8 PA c/u

Date: 06/06/2004
Views: 5700
Bronchiectasis
Case 8 CT1

Bronchiectasis
Case 8 CT1

Date: 06/06/2004
Views: 6125
Bronchiectasis
Case 8 CT2

Bronchiectasis
Case 8 CT2

Date: 06/06/2004
Views: 5538
Bronchiectasis
Case 9 PA

Bronchiectasis
Case 9 PA

Date: 10/16/2003
Views: 6755
Bronchiectasis
Case 9 PA c/u

Bronchiectasis
Case 9 PA c/u

Date: 10/16/2003
Views: 4469
Bronchiectasis
Case 10 PA

Bronchiectasis
Case 10 PA

Date: 10/16/2003
Views: 4737
Bronchiectasis
Case 10 PA c/u

Bronchiectasis
Case 10 PA c/u

Date: 10/16/2003
Views: 4487
Bronchiectasis
Case 11 PA/Lat

Bronchiectasis
Case 11 PA/Lat

Date: 06/03/2004
Views: 5855
Bronchiectasis
Case 12 CT

Bronchiectasis
Case 12 CT

Date: 06/03/2004
Views: 6753
Bronchiectasis
Case 13 CT

Bronchiectasis
Case 13 CT

Date: 06/06/2004
Views: 5756
Bronchiectasis Case 14

Bronchiectasis Case 14

Date: 03/11/2006
Views: 5188
LUL bronchiect

LUL bronchiect

Date: 09/06/2006
Views: 8412
LUL bronchlat

LUL bronchlat

Date: 09/06/2006
Views: 5642
LUL bronch CT

LUL bronch CT

Date: 09/06/2006
Views: 7899
tree-in-bud a)

tree-in-bud a)

Date: 02/07/2010
Views: 6125
tree-in-bud b)

tree-in-bud b)

Date: 02/07/2010
Views: 7338
Bronchiectasis with coronal CT

Bronchiectasis with coronal CT

Date: 07/27/2013
Views: 7972
Chronic airway disease

Chronic airway disease

Date: 03/02/2014
Views: 5881
Page: 1
Powered by Gallery v2.3