Login
Register
Gallery
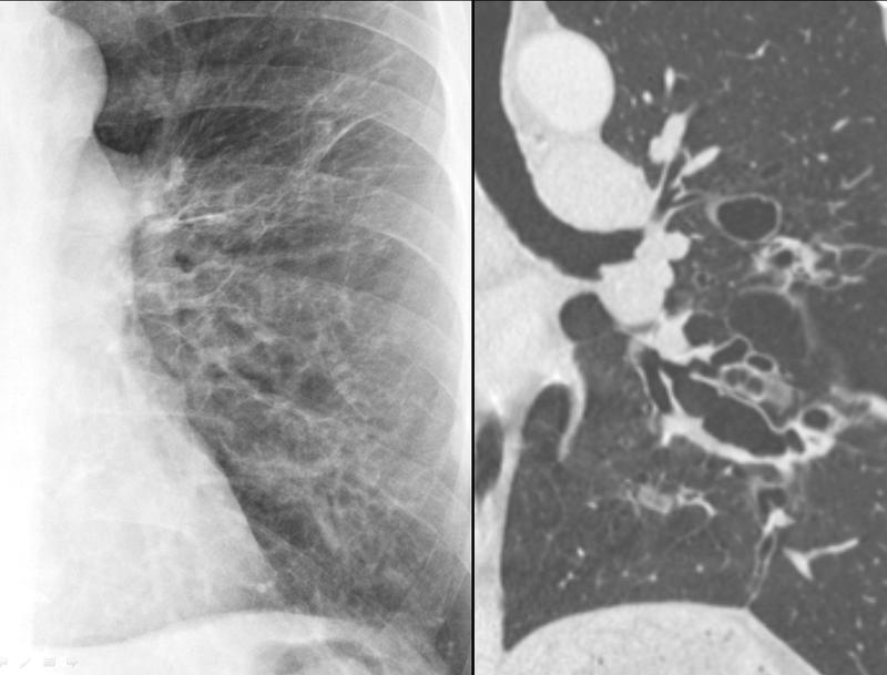
Bronchiectasis
Bronchiectasis with coronal CT
Bronchiectasis with coronal CT
Date: 07/27/2013
Size:
800x609
1262x960
Full size:
1262x960
next
last
first
previous
next
last
first
previous