Login
Register
Gallery
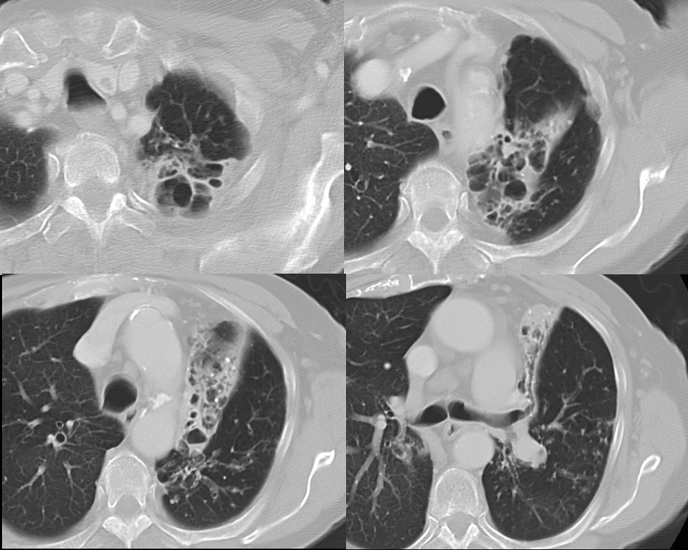
Bronchiectasis
LUL bronch CT
LUL bronch CT
Date: 09/06/2006
Size:
800x640
1000x800
Full size:
1000x800
next
last
first
previous
next
last
first
previous