Login
Register
Gallery
COPD
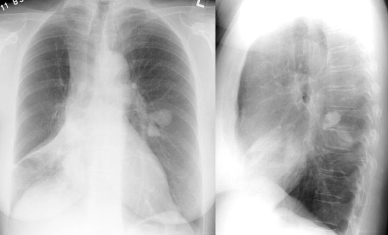
Asthma PA& Lat
Asthma PA& Lat
Date: 06/06/2004
Size:
800x484
893x540
Full size:
893x540
next
last
first
previous
next
last
first
previous