Login Register
Gallery COPD Subtle paraseptal emphysema

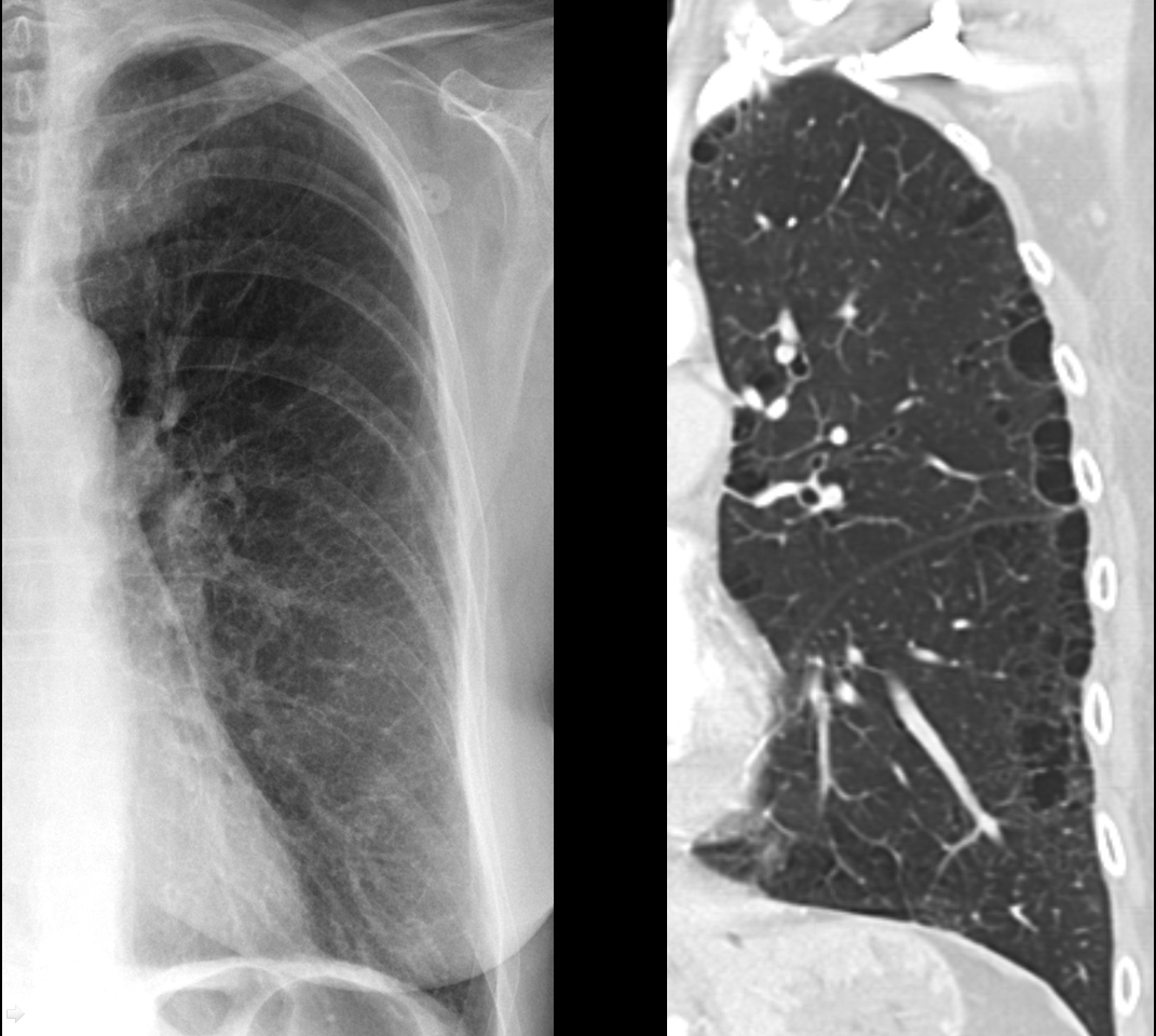
Subtle paraseptal emphysema

Date: 03/02/2014
Size:
Full size: 1071x960
nextlast
first previous
Subtle paraseptal emphysema
nextlast
first previous
Powered by Gallery v2.3