Login Register
Gallery COPD paraseptal emphysema

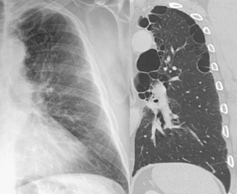
paraseptal emphysema

Date: 02/25/2013
Size:
Full size: 1224x1002
nextlast
first previous
paraseptal emphysema
nextlast
first previous
Powered by Gallery v2.3