Login Register
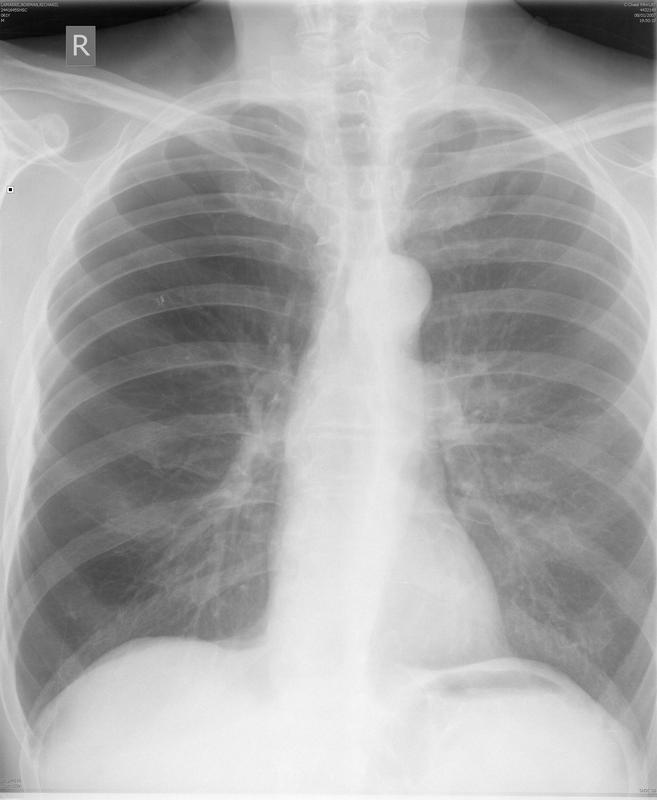
Gallery COPD Unilat hyperl lung (prob post viral)

Unilat hyperl lung
(prob post viral)

Date: 02/25/2013
Size:
Full size: 3480x4240
nextlast
first previous
Unilat hyperl lung
(prob post viral)
nextlast
first previous
Powered by Gallery v2.3