Login Register
Gallery Cardiac Heart failure

Heart failure

Date: 11/05/2005
Size: 24 items
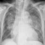
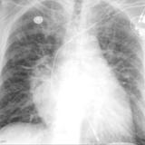
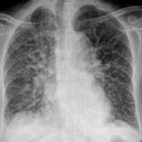
APE 1

APE 1

Date: 11/05/2005
Views: 4079
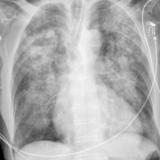
APE 2

APE 2

Date: 11/05/2005
Views: 2689
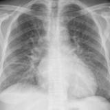
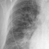
APE 3

APE 3

Date: 11/05/2005
Views: 3892
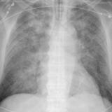
APE 4

APE 4

Date: 11/05/2005
Views: 2831
APE 5

APE 5

Date: 11/05/2005
Views: 2671
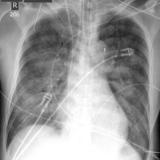
APE 6
+ IABP

APE 6
+ IABP

Date: 01/13/2008
Views: 3398
Bivent failure

Bivent failure

Date: 11/05/2005
Views: 2537
IPE 1

IPE 1

Date: 11/05/2005
Views: 2679
IPE 2

IPE 2

Date: 11/05/2005
Views: 3556
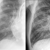
IPE 3 before

IPE 3 before

Date: 11/05/2005
Views: 2443
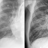
IPE 3 after

IPE 3 after

Date: 11/05/2005
Views: 2265
IPE 4

IPE 4

Date: 11/05/2005
Views: 3289
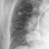
IPE cu

IPE cu

Date: 11/05/2005
Views: 2975
septals

septals

Date: 07/24/2006
Views: 3158
PB cuffing in failure

PB cuffing in failure

Date: 03/29/2014
Views: 2937
PB cuffing

PB cuffing

Date: 11/05/2005
Views: 2265
IPE 5

IPE 5

Date: 02/15/2006
Views: 2498
CHF progression

CHF progression

Date: 11/05/2005
Views: 3290
IPE before and after

IPE before and after

Date: 02/07/2010
Views: 3019
APE IABP

APE IABP

Date: 10/17/2010
Views: 3710
 IPE 6

IPE 6

Date: 10/23/2010
Views: 3279
IPE before and after

IPE before and after

Date: 10/23/2010
Views: 3480
early cuffing

early cuffing

early cuffing

Date: 01/06/2018
Views: 2466
peribronchial cuffing

peribronchial cuffing

peribronchial cuffing bef and after

Date: 01/06/2018
Views: 6860
Page: 1
Powered by Gallery v2.3