Login Register
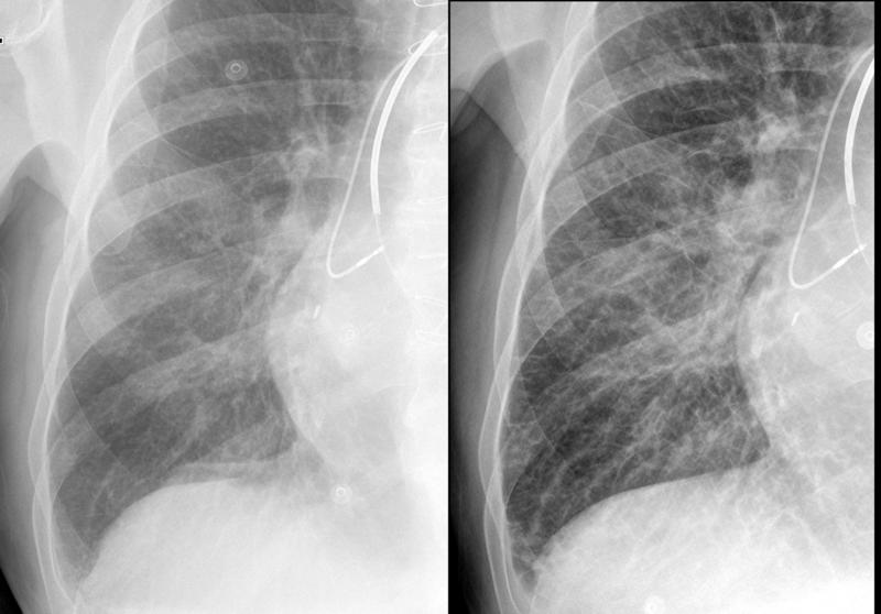
Gallery Cardiac Heart failure IPE before and after

IPE before and after

Date: 10/23/2010
Size:
Full size: 1344x938
nextlast
first previous
IPE before and after
nextlast
first previous
Powered by Gallery v2.3