Login
Register
Gallery
Cardiac
Heart failure
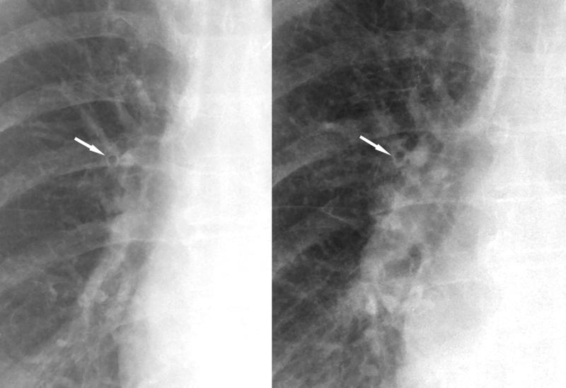
peribronchial cuffing
peribronchial cuffing
peribronchial cuffing bef and after
Date: 01/06/2018
Size:
800x548
3175x2173
Full size:
3175x2173
first
previous
first
previous