Login Register
Gallery Cardiac Heart failure peribronchial cuffing

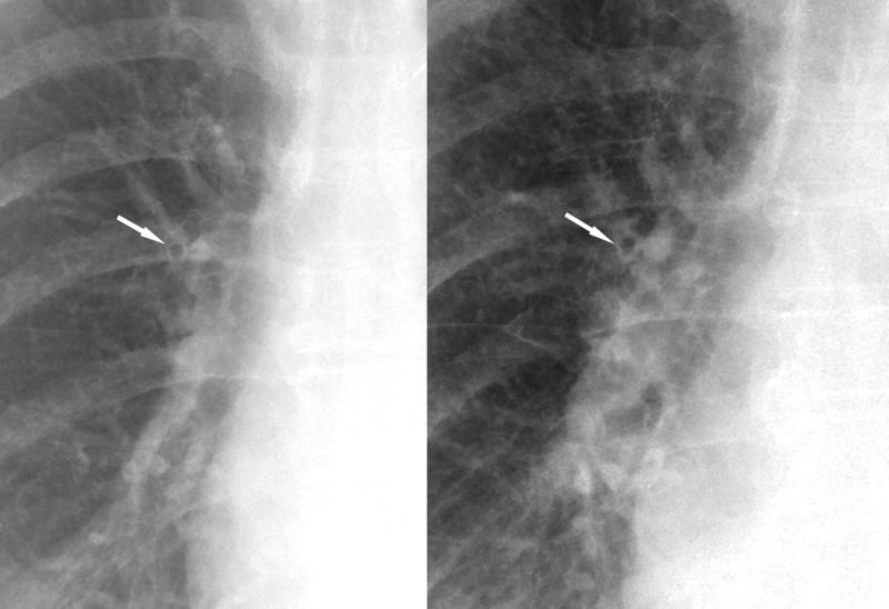
peribronchial cuffing

peribronchial cuffing bef and after

Date: 01/06/2018
Size:
Full size: 3175x2173
first previous
peribronchial cuffing
first previous
Powered by Gallery v2.3