Login Register
Gallery Cardiac Mitral Valve Disease Mitral Valve Disease Case 1 PA

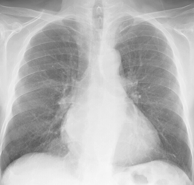
Mitral Valve Disease
Case 1 PA

Date: 03/17/2004
Full size: 636x605
nextlast
Mitral Valve Disease
Case 1 PA
nextlast
Powered by Gallery v2.3