Login
Register
Gallery
Cardiac
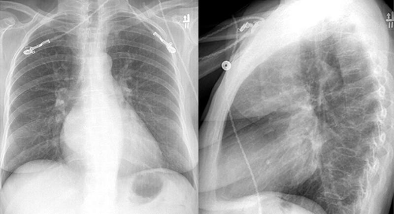
Mitral Valve Disease
Mitral Valve Disease Case 2 PA and Lat
Mitral Valve Disease
Case 2 PA and Lat
Date: 03/17/2004
Size:
800x434
1127x612
Full size:
1127x612
next
last
first
previous
next
last
first
previous