Login Register
Gallery Cardiac Mitral Valve Disease Mitral Valve Disease Case 3 PA

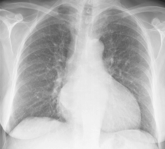
Mitral Valve Disease
Case 3 PA

Date: 03/17/2004
Full size: 664x599
nextlast
first previous
Mitral Valve Disease
Case 3 PA
nextlast
first previous
Powered by Gallery v2.3