Login Register
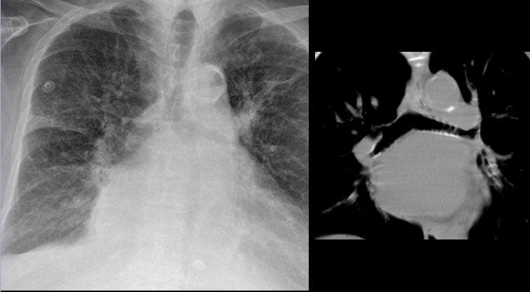
Gallery Cardiac Mitral Valve Disease Enlarged Lt atrium, splaying

Enlarged Lt atrium, splaying

Date: 07/27/2013
Full size: 757x417
nextlast
first previous
Enlarged Lt atrium, splaying
nextlast
first previous
Powered by Gallery v2.3