Login
Register
Gallery
Cardiac
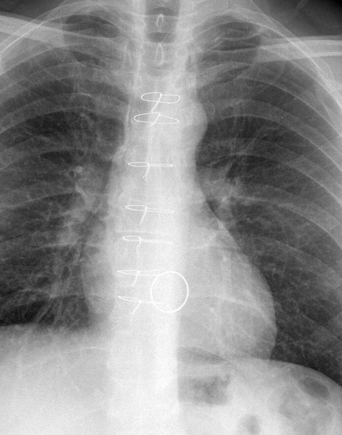
Mitral Valve Disease
Mitral annuloplasty PA
Mitral annuloplasty PA
Date: 01/26/2009
Size:
629x800
691x879
Full size:
691x879
next
last
first
previous
next
last
first
previous