Login Register
Gallery Cardiac Other Aortic aneurysm

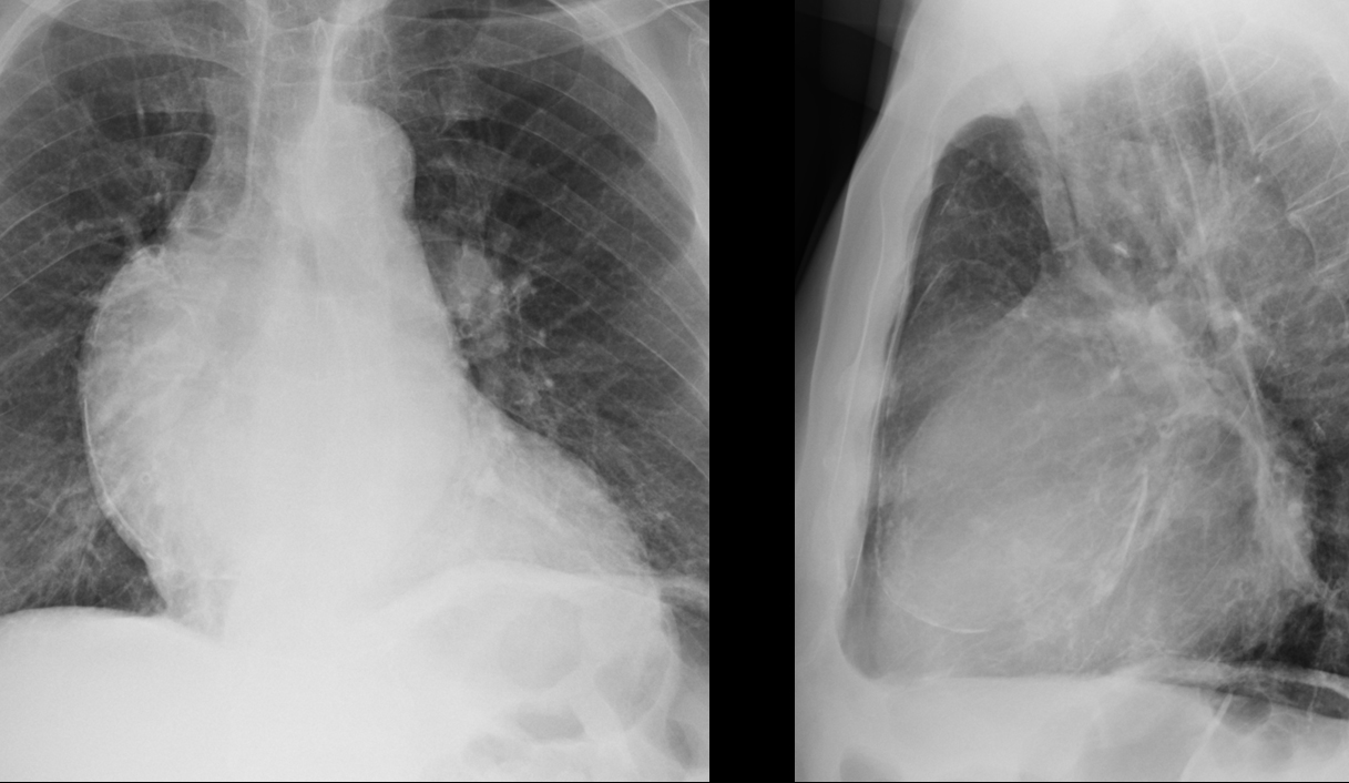
Aortic aneurysm

Date: 03/02/2014
Size:
Full size: 1217x706
nextlast
first previous
Aortic aneurysm
nextlast
first previous
Powered by Gallery v2.3