Login
Register
Gallery
Cardiac
Other
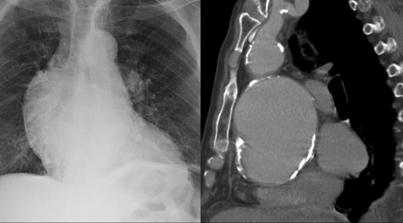
Aortic aneurysm withl ateral
Aortic aneurysm withl ateral
Date: 03/02/2014
Size:
800x442
1280x707
Full size:
1280x707
next
last
first
previous
next
last
first
previous