Login Register
Gallery Cardiac Other Giant Rt Atrium Post Mitral and Tricuspid surgry

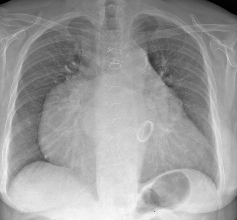
Giant Rt Atrium
Post Mitral and Tricuspid surgry

Date: 01/07/2012
Size:
Full size: 1743x1618
nextlast
first previous
Giant Rt Atrium
Post Mitral and Tricuspid surgry
nextlast
first previous
Powered by Gallery v2.3