Login Register
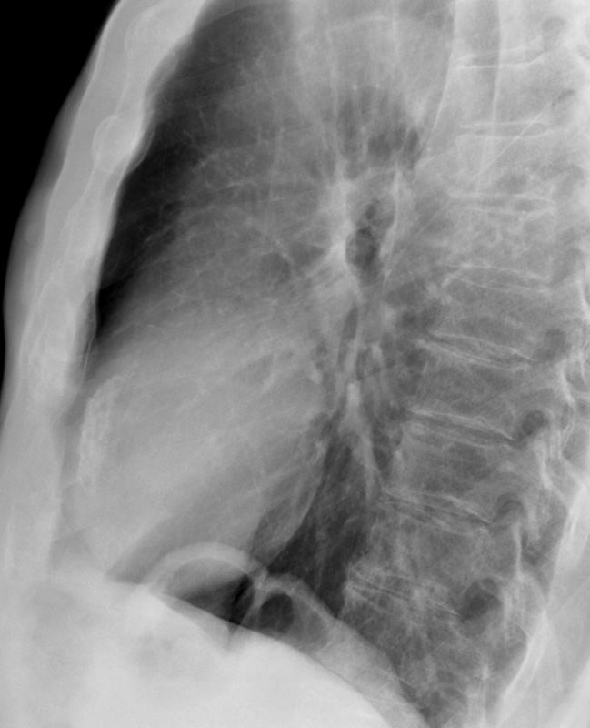
Gallery Cardiac Other LV ant wall calcif (can't see on PA)

LV ant wall calcif
(can't see on PA)

Date: 01/26/2009
Size:
Full size: 1090x1343
nextlast
first previous
LV ant wall calcif
(can't see on PA)
nextlast
first previous
Powered by Gallery v2.3