Login Register
Gallery Cardiac Pericardium

Pericardium

Date: 03/17/2004
Size: 37 items
nextlast
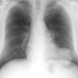
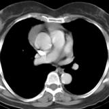
Normal pericardium

Normal pericardium

Date: 03/17/2004
Views: 4750
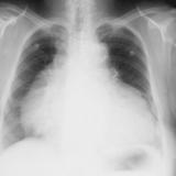
recesses

recesses

Date: 07/24/2006
Views: 2918
Peric recesses

Peric recesses

Date: 01/26/2009
Views: 4217
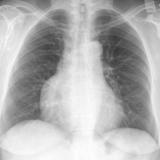
Pericardial "stripe"

Pericardial "stripe"

Date: 01/06/2012
Views: 9830
Peric stripe - slightly thickened
close up

Peric stripe - slightly thickened
close up

Date: 03/17/2004
Views: 3692
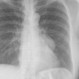
Case 1 PA 
Peric calcification

Case 1 PA
Peric calcification

Date: 03/17/2004
Views: 2469
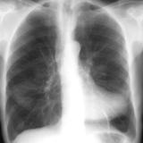
Case 1 Lat

Case 1 Lat

Date: 03/17/2004
Views: 2839
Case 2  Lung cancer and
Peric calcification

Case 2 Lung cancer and
Peric calcification

Date: 03/17/2004
Views: 2389
Case 2
Peric calcification

Case 2
Peric calcification

Date: 03/17/2004
Views: 2790
Case 3 Lat only
Peric calcification

Case 3 Lat only
Peric calcification

Date: 03/17/2004
Views: 8124
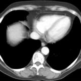
Case 4a
Peric effusion

Case 4a
Peric effusion

Date: 03/17/2004
Views: 2847
Case 4b
Peric effusion

Case 4b
Peric effusion

Date: 03/17/2004
Views: 2440
Case 5a

Case 5a

Date: 03/17/2004
Views: 2363
Case 5b

Case 5b

Date: 03/17/2004
Views: 2145
Case  5c

Case 5c

Date: 03/17/2004
Views: 2264
Case 6a
Peric effusion

Case 6a
Peric effusion

Date: 03/17/2004
Views: 2265
Case 6b
Peric effusion

Case 6b
Peric effusion

Date: 03/17/2004
Views: 2892
Case 6c
Peric effusion c/u

Case 6c
Peric effusion c/u

Date: 03/17/2004
Views: 4639
Case 7a 
Peric effusion

Case 7a
Peric effusion

Date: 02/25/2013
Views: 2900
Case 7b
Peric effusion

Case 7b
Peric effusion

Date: 02/25/2013
Views: 3027
Cong Abscence of Peric

Cong Abscence of Peric

Date: 03/17/2004
Views: 3050
Cong Absence of Peric

Cong Absence of Peric

Date: 03/17/2004
Views: 4072
Part'l absc peric PA

Part'l absc peric PA

Date: 07/23/2006
Views: 3051
Part'l abs peric Lat

Part'l abs peric Lat

Date: 07/23/2006
Views: 3046
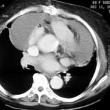
Part'l absc peric CT

Part'l absc peric CT

Date: 07/23/2006
Views: 3027
Part'l absc peric cu

Part'l absc peric cu

Date: 07/23/2006
Views: 2317
Peric cyst Case 1

Peric cyst Case 1

Date: 03/17/2004
Views: 5003
Peric  cyst Case 1

Peric cyst Case 1

Date: 03/17/2004
Views: 5757
Periccyst Case 1

Periccyst Case 1

Date: 03/17/2004
Views: 3737
Peric cyst Case 2

Peric cyst Case 2

Date: 03/17/2004
Views: 2141
Peric cyst Case 2

Peric cyst Case 2

Date: 03/17/2004
Views: 2238
Peric cyst Case 2

Peric cyst Case 2

Date: 03/17/2004
Views: 2326
Peric cyst Case 3

Peric cyst Case 3

Date: 03/17/2004
Views: 2909
Peric cyst Case 4

Peric cyst Case 4

Date: 07/23/2006
Views: 3356
Peric cyst Case 4

Peric cyst Case 4

Date: 07/23/2006
Views: 3585
Peric cyst Case 4

Peric cyst Case 4

Date: 07/23/2006
Views: 3368
nextlast
Page: 1 2
Powered by Gallery v2.3