Login Register
Gallery Cardiac Pericardium

Pericardium

Date: 03/17/2004
Size: 37 items
nextlast
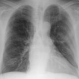
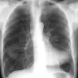
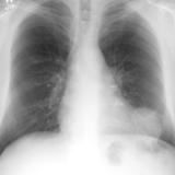
Normal pericardium

Normal pericardium

Date: 03/17/2004
Views: 4932
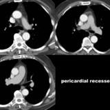
recesses

recesses

Date: 07/24/2006
Views: 3035
Peric recesses

Peric recesses

Date: 01/26/2009
Views: 4427
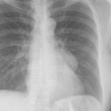
Pericardial "stripe"

Pericardial "stripe"

Date: 01/06/2012
Views: 10354
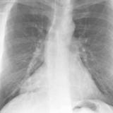
Peric stripe - slightly thickened
close up

Peric stripe - slightly thickened
close up

Date: 03/17/2004
Views: 3814
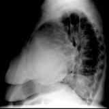
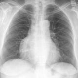
Case 1 PA 
Peric calcification

Case 1 PA
Peric calcification

Date: 03/17/2004
Views: 2573
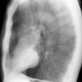
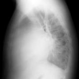
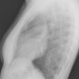
Case 1 Lat

Case 1 Lat

Date: 03/17/2004
Views: 2971
Case 2  Lung cancer and
Peric calcification

Case 2 Lung cancer and
Peric calcification

Date: 03/17/2004
Views: 2501
Case 2
Peric calcification

Case 2
Peric calcification

Date: 03/17/2004
Views: 2928
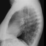
Case 3 Lat only
Peric calcification

Case 3 Lat only
Peric calcification

Date: 03/17/2004
Views: 8407
Case 4a
Peric effusion

Case 4a
Peric effusion

Date: 03/17/2004
Views: 2971
Case 4b
Peric effusion

Case 4b
Peric effusion

Date: 03/17/2004
Views: 2522
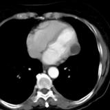
Case 5a

Case 5a

Date: 03/17/2004
Views: 2472
Case 5b

Case 5b

Date: 03/17/2004
Views: 2247
Case  5c

Case 5c

Date: 03/17/2004
Views: 2380
Case 6a
Peric effusion

Case 6a
Peric effusion

Date: 03/17/2004
Views: 2360
Case 6b
Peric effusion

Case 6b
Peric effusion

Date: 03/17/2004
Views: 2999
Case 6c
Peric effusion c/u

Case 6c
Peric effusion c/u

Date: 03/17/2004
Views: 4750
Case 7a 
Peric effusion

Case 7a
Peric effusion

Date: 02/25/2013
Views: 3010
Case 7b
Peric effusion

Case 7b
Peric effusion

Date: 02/25/2013
Views: 3168
Cong Abscence of Peric

Cong Abscence of Peric

Date: 03/17/2004
Views: 3167
Cong Absence of Peric

Cong Absence of Peric

Date: 03/17/2004
Views: 4205
Part'l absc peric PA

Part'l absc peric PA

Date: 07/23/2006
Views: 3175
Part'l abs peric Lat

Part'l abs peric Lat

Date: 07/23/2006
Views: 3177
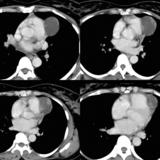
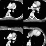
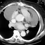
Part'l absc peric CT

Part'l absc peric CT

Date: 07/23/2006
Views: 3154
Part'l absc peric cu

Part'l absc peric cu

Date: 07/23/2006
Views: 2417
Peric cyst Case 1

Peric cyst Case 1

Date: 03/17/2004
Views: 5269
Peric  cyst Case 1

Peric cyst Case 1

Date: 03/17/2004
Views: 6063
Periccyst Case 1

Periccyst Case 1

Date: 03/17/2004
Views: 3910
Peric cyst Case 2

Peric cyst Case 2

Date: 03/17/2004
Views: 2244
Peric cyst Case 2

Peric cyst Case 2

Date: 03/17/2004
Views: 2331
Peric cyst Case 2

Peric cyst Case 2

Date: 03/17/2004
Views: 2440
Peric cyst Case 3

Peric cyst Case 3

Date: 03/17/2004
Views: 3051
Peric cyst Case 4

Peric cyst Case 4

Date: 07/23/2006
Views: 3502
Peric cyst Case 4

Peric cyst Case 4

Date: 07/23/2006
Views: 3755
Peric cyst Case 4

Peric cyst Case 4

Date: 07/23/2006
Views: 3512
nextlast
Page: 1 2
Powered by Gallery v2.3