Login Register
Gallery Cardiac Pericardium

Pericardium

Date: 03/17/2004
Size: 37 items
nextlast
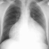
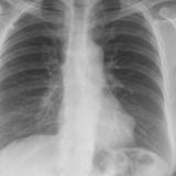
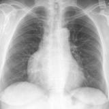
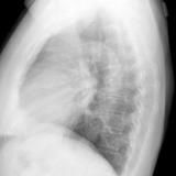
Normal pericardium

Normal pericardium

Date: 03/17/2004
Views: 4948
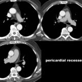
recesses

recesses

Date: 07/24/2006
Views: 3049
Peric recesses

Peric recesses

Date: 01/26/2009
Views: 4437
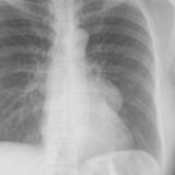
Pericardial "stripe"

Pericardial "stripe"

Date: 01/06/2012
Views: 10367
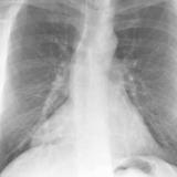
Peric stripe - slightly thickened
close up

Peric stripe - slightly thickened
close up

Date: 03/17/2004
Views: 3834
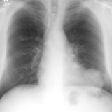
Case 1 PA 
Peric calcification

Case 1 PA
Peric calcification

Date: 03/17/2004
Views: 2585
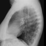
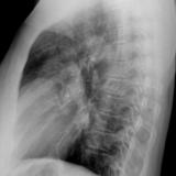
Case 1 Lat

Case 1 Lat

Date: 03/17/2004
Views: 2983
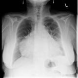
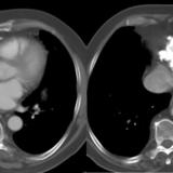
Case 2  Lung cancer and
Peric calcification

Case 2 Lung cancer and
Peric calcification

Date: 03/17/2004
Views: 2512
Case 2
Peric calcification

Case 2
Peric calcification

Date: 03/17/2004
Views: 2940
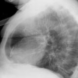
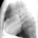
Case 3 Lat only
Peric calcification

Case 3 Lat only
Peric calcification

Date: 03/17/2004
Views: 8419
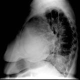
Case 4a
Peric effusion

Case 4a
Peric effusion

Date: 03/17/2004
Views: 2989
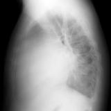
Case 4b
Peric effusion

Case 4b
Peric effusion

Date: 03/17/2004
Views: 2534
Case 5a

Case 5a

Date: 03/17/2004
Views: 2480
Case 5b

Case 5b

Date: 03/17/2004
Views: 2260
Case  5c

Case 5c

Date: 03/17/2004
Views: 2393
Case 6a
Peric effusion

Case 6a
Peric effusion

Date: 03/17/2004
Views: 2371
Case 6b
Peric effusion

Case 6b
Peric effusion

Date: 03/17/2004
Views: 3011
Case 6c
Peric effusion c/u

Case 6c
Peric effusion c/u

Date: 03/17/2004
Views: 4765
Case 7a 
Peric effusion

Case 7a
Peric effusion

Date: 02/25/2013
Views: 3031
Case 7b
Peric effusion

Case 7b
Peric effusion

Date: 02/25/2013
Views: 3182
Cong Abscence of Peric

Cong Abscence of Peric

Date: 03/17/2004
Views: 3184
Cong Absence of Peric

Cong Absence of Peric

Date: 03/17/2004
Views: 4212
Part'l absc peric PA

Part'l absc peric PA

Date: 07/23/2006
Views: 3187
Part'l abs peric Lat

Part'l abs peric Lat

Date: 07/23/2006
Views: 3194
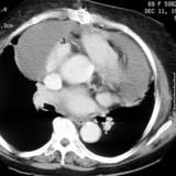
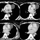
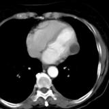
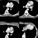
Part'l absc peric CT

Part'l absc peric CT

Date: 07/23/2006
Views: 3171
Part'l absc peric cu

Part'l absc peric cu

Date: 07/23/2006
Views: 2423
Peric cyst Case 1

Peric cyst Case 1

Date: 03/17/2004
Views: 5277
Peric  cyst Case 1

Peric cyst Case 1

Date: 03/17/2004
Views: 6074
Periccyst Case 1

Periccyst Case 1

Date: 03/17/2004
Views: 3920
Peric cyst Case 2

Peric cyst Case 2

Date: 03/17/2004
Views: 2252
Peric cyst Case 2

Peric cyst Case 2

Date: 03/17/2004
Views: 2342
Peric cyst Case 2

Peric cyst Case 2

Date: 03/17/2004
Views: 2451
Peric cyst Case 3

Peric cyst Case 3

Date: 03/17/2004
Views: 3058
Peric cyst Case 4

Peric cyst Case 4

Date: 07/23/2006
Views: 3518
Peric cyst Case 4

Peric cyst Case 4

Date: 07/23/2006
Views: 3775
Peric cyst Case 4

Peric cyst Case 4

Date: 07/23/2006
Views: 3526
nextlast
Page: 1 2
Powered by Gallery v2.3